Ngày 8/4, đại diện Bệnh viện Nhi đồng 1 (TPHCM) cho biết, vừa qua các bác sĩ khoa Ngoại Thần kinh đã tiếp nhận và điều trị thành công một trường hợp bệnh nhi mang khối u não nguy hiểm.
Bệnh nhi là bé T.G.K. (7 tháng tuổi, ngụ tỉnh Đồng Tháp). Khai thác bệnh sử, lúc 3 tháng tuổi, người nhà phát hiện đầu bé to dần, hay nôn ói sau bú và mắt nhìn xuống nên đưa đến khám tại Bệnh viện Nhi đồng 1.
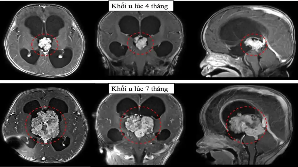
Quá trình thăm khám, bác sĩ ghi nhận bé có tình trạng tăng áp lực nội sọ, ảnh siêu âm cho thấy khối u chèn ép vùng não thất III, gây giãn não thất nặng. Tiếp tục chụp cộng hưởng từ sọ não, bệnh nhi được xác định tình trạng não úng thuỷ tắc nghẽn, với khối u nằm ở vị trí có nhiều cấu trúc thần kinh quan trọng xung quanh.
Kết quả giải phẫu bệnh xác định, bệnh nhi mang u đám rối mạch mạc không điển hình độ 2, một khối u hiếm gặp của hệ thần kinh trung ương.
Do lo lắng việc phẫu thuật lấy u gây nguy cơ cao, gia đình và bác sĩ thống nhất tiến hành đặt dẫn lưu não thất màng bụng để điều trị giảm áp lực nội sọ tạm thời, đợi một khoảng thời gian bé đủ lớn sẽ mổ lấy u.
Nhưng 3 tháng sau, khi chụp phim cộng hưởng từ sọ não, bác sĩ phát hiện khối u tăng kích thước hơn gấp 3 lần. Không thể trì hoãn thêm, ê-kíp điều trị tư vấn gia đình việc phẫu thuật mổ lấy u để cấp cứu cháu bé.
Với sự chuẩn bị chu đáo và phối hợp nhịp nhàng giữa các chuyên khoa Ngoại thần kinh, Phẫu thuật gây mê hồi sức cùng Hồi sức ngoại, ca mổ đã diễn ra an toàn trong 6 giờ đồng hồ, giúp khối u của bé được bóc tách thành công. Sau thời gian hồi sức và chăm sóc tích cực sau mổ, bé đã hồi phục và được xuất viện.
TS.BS Trần Minh Huy, khoa Ngoại Thần kinh, chia sẻ, đây là ca mổ rất khó khăn, khi khối u kích thước lớn (6cm), tăng sinh mạch máu nuôi và phát triển trong lòng não thất. Ngoài ra, với thời gian cuộc mổ kéo dài, nguy cơ mất máu nhiều trên bệnh nhi 7 tháng tuổi đòi hỏi năng lực chuyên môn và phối hợp liên chuyên khoa chặt chẽ.
“Chúng tôi đã vượt qua những thách thức để thực hiện thành công ca phẫu thuật, đưa bệnh nhi trở về lại với cuộc sống bình thường”, bác sĩ Huy nói.
Tái tạo khuyết hổng cho bệnh nhân ung thư vùng má
Các bác sĩ Bệnh viện Nguyễn Trãi (TPHCM) vừa phẫu thuật cắt khối u và tái tạo vùng khuyết hổng cho một phụ nữ mang khối u ác tính vùng má.
Theo bệnh sử, trước 2 tháng nhập viện, bà L. (63 tuổi) đã phát hiện khối cứng ở má trái, tăng dần kích thước theo thời gian và gây đau nhẹ khi ăn nhai. Vì nghĩ là viêm loét thông thường, bà không đi khám sớm, mà chỉ đợi khi tổn thương không cải thiện mới vào Bệnh viện Nguyễn Trãi kiểm tra.
Dựa trên kết quả khám lâm sàng và chẩn đoán hình ảnh, bệnh nhân được xác định ung thư niêm mạc má trái giai đoạn 3. Do khối u xâm lấn sâu, nguy cơ ảnh hưởng chức năng ăn nhai và nuốt sau mổ, bệnh nhân được tư vấn kỹ về phương pháp phẫu thuật và nguy cơ biến chứng.
Song song đó, bà cũng được mở thông dạ dày để nuôi ăn trước mổ, nhằm đảm bảo dinh dưỡng và chuẩn bị thể trạng tốt nhất.
Sau khi cắt rộng khối u và nạo hạch cổ trái, ê-kíp điều trị tiếp tục mổ tái tạo khuyết hổng bằng vạt đảo dưới cằm. Đây là kỹ thuật đòi hỏi các bác sĩ phải kiểm soát toàn diện để đáp ứng an toàn, đồng thời đảm bảo tái tạo mô mềm giúp phục hồi chức năng và thẩm mỹ.
Hậu phẫu, bệnh nhân diễn tiến thuận lợi, vết thương lành tốt và xuất viện sau 5 ngày chăm sóc.
Các bác sĩ khuyến cáo, ung thư niêm mạc má thường khởi phát bằng những tổn thương nhỏ, dễ nhầm với loét miệng thông thường. Người dân cần đi khám ngay khi có các dấu hiệu loét miệng kéo dài trên 2 tuần không lành; có khối cứng vùng má, lưỡi hoặc sàn miệng; chảy máu bất thường trong khoang miệng.
“Người trên 40 tuổi, có tiền sử hút thuốc, uống rượu nên khám và tầm soát định kỳ để phát hiện bệnh ở giai đoạn sớm, giúp nâng cao hiệu quả điều trị và chất lượng sống”, bác sĩ hướng dẫn.
Theo thông tin từ Vùng 2 Hải quân, Tiểu đoàn DK1 vừa hỗ trợ cấp cứu một thuyền viên bị nạn trên vùng biển cụm Tư Chính.
Lúc 10h17 ngày 29/3, Nhà giàn DK1/11 nhận được đề nghị hỗ trợ từ tàu cá BĐ97863TS ở cách 2 hải lý. Ông Tô Văn Dưỡng (SN 1969, trú tại Hoài Nhơn Đông, Gia Lai), thuyền trưởng, báo trên tàu có thuyền viên bị nạn.
Sau khi nhận thông tin, cán bộ, chiến sỹ Nhà giàn DK1/11 đã nhanh chóng hướng dẫn tàu cá tiếp cận, sau đó dùng cáng cứu thương và cần cẩu để đưa bệnh nhân lên nhà giàn.
Bệnh nhân tên L.V.T. (SN 1966, trú tại Hoài Nhơn Đông, Gia Lai), có biểu hiện méo miệng, mắt nhắm, không nói được, chân tay yếu. Qua thăm khám, cán bộ quân y chẩn đoán bệnh nhân bị tai biến mạch máu não.
Quân y nhà giàn đã tiến hành sơ cứu, đồng thời báo cáo Quân y Vùng 2 để được hỗ trợ về chuyên môn.
Do nhà giàn không đủ điều kiện về trang bị máy móc và chuyên môn, cán bộ quân y đã hướng dẫn thuyền trưởng đưa bệnh nhân ra Bệnh xá đảo Trường Sa (đặc khu Trường Sa, tỉnh Khánh Hòa) để tiếp tục theo dõi, điều trị.
Tại Hội nghị công tác tổ chức thi tốt nghiệp THPT 2026 do Bộ GD&ĐT tổ chức sáng nay (10/4), GS.TS Huỳnh Văn Chương, Cục trưởng Cục Quản lý chất lượng, Bộ GD&ĐT cho biết, kỳ thi tốt nghiệp 2026 có nhiều điểm mới so với những năm trước.
Theo đó, thay đổi quan trọng nhất ở mẫu đăng ký dự thi, mã tỉnh thành để phù hợp với sự vận hành của chính quyền hai cấp.
“Các địa phương phải chú ý điều này bởi nếu sai sót sẽ khiến các em ảnh hưởng cả kỳ thi”, ông Chương nhấn mạnh.
Bên cạnh đó, điểm thay đổi đáng chú ý là việc tích hợp giấy báo dự thi và thẻ dự thi thành một loại duy nhất là giấy báo dự thi. Giấy do trường phổ thông nơi thí sinh nộp hồ sơ đăng kí dự thi cấp. Đồng thời, giấy chứng nhận tốt nghiệp tạm thời tích hợp vào giấy chứng nhận kết quả thi.
Quy chế mới cũng giảm thời gian thu nhận đơn phúc khảo để thông báo kết quả phúc khảo sớm hơn, đồng thời thuận tiện cho công tác tuyển sinh của các trường đại học. Trong thời hạn 15 ngày kể từ ngày hết hạn nhận đơn phúc khảo, Hội đồng thi phải công bố và thông báo kết quả phúc khảo cho thí sinh.
Quy trình chấm phúc khảo được điều chỉnh nhằm tăng cường hiệu quả, chất lượng. Theo đó, tất cả các bài thi có thay đổi điểm tăng hoặc giảm trong quá trình phúc khảo đều phải được đối thoại giữa các giám khảo chấm cũ và chấm mới.
"Đặc biệt, điểm mới năm nay, Bộ GD&ĐT sẽ tổ chức các đoàn kiểm tra công tác thi tại các địa phương, trong đó huy động lực lượng cán bộ trường đại học địa phương cùng tham gia. Đây là điểm rất mới nhằm tiết kiệm thời gian và lực lượng cán bộ của Bộ GD&ĐT", theo ông Chương.
"Theo lộ trình, Bộ GD&ĐT đang chuẩn bị cho việc thi trên máy tính, thực hiện từ năm 2027. Trước mắt, Bộ sẽ thực hiện thử nghiệm tại một số địa phương, đồng thời xây dựng đề án cụ thể để báo cáo Chính phủ. Đây là công việc trọng yếu và vai trò của địa phương rất quan trọng, cần phối hợp".
GS Huỳnh Văn Chương
Các nội dung còn lại tiếp tục giữ ổn định như năm 2025, trong đó định dạng, cấu trúc đề thi và đề thi minh họa đã được công bố từ năm 2024 được giữ nguyên cho năm 2026.
Chia sẻ với phóng viên Dân trí về đề thi, GS.TS Nguyễn Ngọc Hà, Phó Cục trưởng Cục Quản lý chất lượng, Trưởng ban đề thi tốt nghiệp THPT năm 2025, cho biết cấu trúc, tỷ lệ, mức độ phân hóa của đề thi tốt nghiệp THPT năm nay sẽ không khác so với mọi năm.
Tất cả các yếu tố kỹ thuật của đề thi được giữ nguyên như năm 2025 nên Bộ GD&ĐT sẽ không công bố đề thi minh họa như những năm trước đó.
Kỳ thi tốt nghiệp THPT 2026 được tổ chức trong 3 buổi: Một buổi thi môn ngữ văn, một buổi thi môn toán và một buổi thi của bài thi tự chọn gồm 2 môn thi trong số các môn dưới đây:
Vật lý, hóa học, sinh học, lịch sử, địa lý, giáo dục kinh tế và pháp luật, tin học, công nghệ định hướng công nghiệp (gọi tắt là công nghệ công nghiệp), công nghệ định hướng nông nghiệp (gọi tắt là công nghệ nông nghiệp), ngoại ngữ (Anh, Nga, Pháp, Trung, Đức, Nhật và Hàn).
Hôm qua (9/4), Liên đoàn bóng đá Việt Nam (VFF) đã thông báo chia tay trợ lý Lee Jung Soo sau khi hết hạn hợp đồng. Tới sáng nay, công ty DJM (quản lý HLV Kim Sang Sik và HLV Park Hang Seo) thông báo ông Lee Jung Soo đã đảm nhận vai trò HLV tạm quyền ở CLB Kanchanaburi của Thái Lan.
Nhiệm vụ của HLV người Hàn Quốc ở CLB mới không hề đơn giản. Kanchanaburi đang xếp ở vị trí thứ 14 trên bảng xếp hạng giải vô địch quốc gia Thái Lan với 22 điểm, kém nhóm an toàn 2 điểm trong bối cảnh mùa giải chỉ còn 3 vòng đấu.
HLV Lee Jung Soo sẽ nỗ lực hết sức để giúp Kanchanaburi trụ hạng ở mùa giải này, trước khi tính tới chuyện tương lai. Theo báo Thái Lan, dù CLB Kanchanaburi trụ hạng hay xuống hạng, ông Lee Jung Soo vẫn sẽ làm việc ở ban huấn luyện của CLB mùa giải tới.
Sự ra đi của vị trợ lý người Hàn Quốc là tổn thất không nhỏ với bóng đá Việt Nam. Trong vai trò trợ lý HLV, ông đã giúp các đội tuyển Việt Nam cải thiện rất nhiều ở khâu bóng chết và bóng bổng.
Ở giải U23 châu Á 2026, U23 Việt Nam đã giành vị trí thứ ba chung cuộc nhờ “vũ khí” đặc biệt này. Mới nhất, đội tuyển Việt Nam cũng đánh bại Malaysia nhờ ba bàn thắng được thực hiện bằng đầu.
Tờ Super Ball của Indonesia bình luận: “Đội tuyển Việt Nam chịu tổn thất lớn sau khi chia tay trợ lý HLV người Hàn Quốc. Trong thời gian làm trợ lý cho HLV Kim Sang Sik, trợ lý Lee Jung Soo đã để lại dấu ấn khó quên với bóng đá Việt Nam. Ông là người có công giúp các đội tuyển Việt Nam cải thiện những tình huống cố định. Ông là người lên kế hoạch tỉ mỉ cho từng pha bóng. Nhờ đó, các đội bóng Việt Nam trở nên nguy hiểm hơn.
Bóng chết trở thành vũ khí tấn công nguy hiểm của U23 Việt Nam và đội tuyển Việt Nam. Họ đang tận dụng thứ vũ khí này để thi đấu tốt ở các giải đấu châu Á. Vì vậy, việc chia tay trợ lý Lee Jung Soo là tổn thất khó bù đắp với bóng đá Việt Nam”.
Ông Lee Jung Soo là cựu trung vệ của bóng đá Hàn Quốc trong những năm 2000 và có khả năng không chiến rất tốt. Cựu danh thủ này từng gây ấn tượng mạnh khi ghi những bàn thắng vào lưới Hy Lạp và Nigeria ở World Cup 2010.